يعتبر المسح الذرى للاورام (Nuclear Medicine Imaging) أحد أهم الركائز الأساسية في الطب الحديث لتشخيص ومتابعة الأمراض السرطانية. بفضل التطور التكنولوجي الهائل، أص ...
https://ahramscan.com/meta name="facebook-domain-verification" content="4cpykmrishbbcxjr1v6ym1rieq0c3g" /
يعتبر المسح الذرى للاورام (Nuclear Medicine Imaging) أحد أهم الركائز الأساسية في الطب الحديث لتشخيص ومتابعة الأمراض السرطانية. بفضل التطور التكنولوجي الهائل، أص ...
تعتبر أشعة الرنين المغناطيسي (MRI) على منطقة الرقبة (الفقرات العنقية) من أدق الوسائل التشخيصية التي يعتمد عليها الأطباء لتحديد المشاكل المتعلقة بالأعصاب، الغضار ...
يُعد الحفاظ على صحة المرأة من أولويات الرعاية الطبية الحديثة، ويأتي سونار الثدي (Breast Ultrasound) كأحد أهم الأدوات التشخيصية غير المؤلمة والآمنة تماماً للكشف ...
تعتبر تقنية رنين مغناطيسي مفتوح طفرة حقيقية في عالم التصوير الطبي، حيث قدمت حلاً مثالياً لمشكلات لطالما واجهت المرضى عند استخدام الرنين المغناطيسي التقليدي المغ ...
تُعد العظام هي الهيكل الخرساني الذي يحمل جسدنا، وأي ضعف في هذا الهيكل قد يؤدي إلى عواقب وخيمة تؤثر على جودة الحياة. يُطلق على هشاشة العظام "المرض الصامت" لأن ال ...
هل فكرت يومًا كيف يستطيع الأطباء رؤية ما يحدث داخل دماغك بدون جراحة؟ الأمر أشبه بامتلاك "كاميرا خارقة" تلتقط صورًا دقيقة لداخل الرأس. هنا يأتي دور أشعة مقطعية ع ...
يُعد الهيكل العظمي هو الركيزة الأساسية لجسم الإنسان، والحفاظ على قوته ليس مجرد رفاهية بل ضرورة لضمان حياة نشطة وخالية من الكسور. مع التقدم في العمر أو وجود عوام ...
يُعد رنين مغناطيسي للظهر من أهم الفحوصات الطبية التي أحدثت نقلة نوعية في تشخيص أمراض العمود الفقري ومشاكل الظهر المختلفة. إذا كنت تعاني من ألم مزمن في أسفل الظه ...
عندما يطلب منك الطبيب إجراء فحص داخل مركز اشعة رنين مغناطيسي، فغالبًا ما يكون الهدف هو الوصول إلى تشخيص دقيق لا يمكن الحصول عليه بالوسائل التقليدية. الرنين المغ ...
أشعة المسح الذري تُعد من أكثر الفحوصات الطبية دقة في تشخيص العديد من الأمراض، خصوصًا تلك التي لا تظهر بوضوح في الأشعة التقليدية. ورغم أهميتها الكبيرة في إنقاذ ا ...
حين يخبر الطبيب الأسرة بأن الطفل يحتاج إلى مسح ذري، يتغير الجو فجأة. تتبدل ملامح الوجوه، وتبدأ الأسئلة في الظهور واحدًا تلو الآخر: هل هذا الفحص آمن؟ هل المسح ...
عندما يخبرك الطبيب بأنه يحتاج إلى إجراء مسح ذري، غالبًا ما يتبادر إلى ذهنك القلق مباشرة. كلمة “ذري” وحدها كفيلة بإثارة مخاوف كثيرة، وقد تبدأ بسؤال نفسك: هل حالت ...
عندما يسمع الكثير من الناس مصطلح المسح الذري، يتبادر إلى أذهانهم القلق والخوف، وكأنهم مقبلون على تجربة معقدة أو خطيرة. والحقيقة؟ الأمر أبسط بكثير مما يبدو. المس ...
عندما تسمع كلمة مسح ذري، غالبًا ما يتبادر إلى الذهن الخوف، القلق، وربما صور غير دقيقة عن الإشعاع والخطر. فالمسح الذري هو أحد الأدوات التشخيصية المتقدمة التي أحد ...
جهاز المسح الذري واحد من أكثر الأدوات دقة وتأثيرًا في مجال التشخيص الطبي. هذا الجهاز لا يكتفي برؤية الخلايا، بل يتجاوز ذلك إلى تحليل خصائصها الفيزيائية والميكان ...
يُعد إجراء مسح ذري على الكليتين واحدًا من أدق الفحوصات الطبية في مجال الطب النووي، لأنه لا يكتفي بعرض شكل الكلى فقط، بل يقيس وظائفها الحيوية بشكل منفصل ودقيق. ي ...
يُعد المسح الذري على القلب واحداً من أهم الفحوصات لتشخيص أمراض القلب والشرايين. فعندما تتشابك الأعراض، ويصبح تشخيص المشكلة القلبية أكثر تعقيداً، يأتي هذا الفحص ...
يعتبر المسح الذري واحدًا من أدق الفحوصات الطبية التي أحدثت نقلة نوعية في عالم التشخيص، خصوصًا عندما يتعلق الأمر بالكشف المبكر عن الأمراض التي لا يمكن رؤيتها بسه ...
الأشعة المقطعية للراس واحدة من أهم التقنيات التشخيصية التي يعتمد عليها الأطباء اليوم، ليس فقط لأنها تقدم صورة واضحة ودقيقة للدماغ، بل لأنها تمنح إجابات سريعة في ...
التصوير بالاشعة المقطعية لا يمكن الاستغناء عنها في التشخيص والعلاج. فاليوم، لم يعد الطبيب يعتمد فقط على الفحص السريري أو الأشعة العادية ليكتشف ما يجري داخل أجسا ...
عندما يسمع أي شخص عبارة اشعة مقطعية على المخ، قد يشعر بالقلق أو الخوف، وهذا أمر طبيعي تمامًا، فالفحص متعلق بأهم عضو في الجسم الدماغ. وتُعد واحدة من أهم الفحوصات ...
الأشعة المقطعية بالصبغة من أهم أدوات التشخيص الطبي، فهي ليست مجرد تصوير عابر، بل وسيلة دقيقة تمكن الأطباء من رؤية الأعضاء الداخلية بوضوح شديد. الأشعة المقطعية ا ...
الأشعة المقطعية أصبحت اليوم من الفحوصات الأساسية التي يلجأ إليها الأطباء عند الاشتباه بإصابات خطيرة أو أمراض معقّدة تحتاج إلى رؤية ثلاثية الأبعاد لمناطق داخل ال ...
أشعة رنين على المخ يعتمد عليها الأطباء للكشف عن أي مشكلة داخل الدماغ بدون تدخل جراحي وبدون التعرض للإشعاع. هذه التقنية تُستخدم اليوم في المستشفيات والمراكز الطب ...
التصوير بالرنين المغناطيسي رغم أنه يعتبر فحصًا آمنًا نسبيًا، فإن الكثيرين يشعرون بالخوف أو القلق منه، سواء بسبب شكله المغلق أو الأصوات المرتفعة أو لوجود أجهزة م ...
أشعة رنين مغناطيسي للظهر من الوسائل الطيبة التي يعتمد عليها الأطباء اليوم للكشف عن مشاكل العمود الفقري بدقة عالية دون الحاجة لأي تدخل جراحي. كثير من المرضى يسمع ...
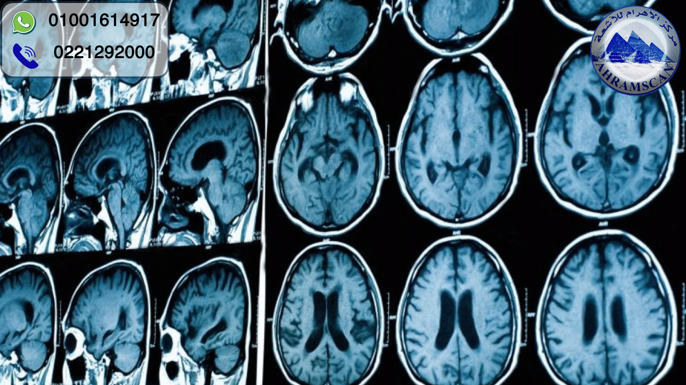
يُعتبر إجراء فحص رنين مغناطيسي للمخ من أهم الفحوصات الطبية لتشخيص أمراض الجهاز العصبي. فبفضل قدرته العالية على إظهار التفاصيل الدقيقة لأنسجة المخ، أصبح هذا الفح ...
يُعد الرنين المغناطيسي أداة تشخيصية مذهلة تُمكن الأطباء من رؤية ما بداخل الجسم بأعلى دقة ممكنة دون الحاجة إلى عمليات جراحية أو التعرض للإشعاع مثل الأشعة السينية ...
قد يُطلب منك إجراء التصوير بالرنين المغناطيسي في أي وقت خلال رحلة العلاج سواء لتشخيص ألم مفاجئ، أو متابعة حالة طبية، أو حتى لاكتشاف مشكلة لم تُكتشف بوسائل أخرى. ...
أشعة رنين من أهم الفحوصات الطبية التي لا يمكن الاستغناء عنها، قد يطلب الطبيب إجراء هذا الفحص عند الاشتباه في أمراض معينة لا تظهر بوضوح في الأشعة العادية أو الأش ...
عندما يخبرك الطبيب بأنك تحتاج إلى اشعة رنين مغناطيسي، قد تتساءل فورًا: هل هو فحص صعب؟ هل يؤلم؟ لماذا يطلبه الطبيب بالتحديد؟ في الحقيقة، يعتبر الرنين المغناطيسي ...
يعتبر تحليل وظائف الكبد واحدًا من أهم التحاليل الطبية التي يطلبها الأطباء بشكل مستمر، لأنه يكشف بدقة عن حالة الكبد وصحة الخلايا الكبدية وقدرته على أداء وظائفه ا ...
أشعة الرنين المغناطيسي تعد من أهم وأكثر الفحوصات دقة في عالم التشخيص الطبي، ومع ذلك فإن أكثر سؤال يتكرر هو: كم سعر اشعة الرنين المغناطيسي؟ ورغم أنك طلبت عدم ذ ...
يعد تحليل وظائف الكبد والكلى واحدًا من أكثر الفحوصات الطبية انتشارًا، فهو بمثابة نافذة يطل من خلالها الأطباء على حالة الجسم الداخلية، ويكشف عن أي خلل قد يتطور ب ...
تطور التقنيات الطبية، ولم تعد فحوصات الأشعة مجرد صور ثابتة، بل أصبحت أدوات متقدمة تكشف أدق التفاصيل داخل جسم الإنسان، بدءًا من العظام وحتى الأنسجة الدقيقة والأع ...
مركز التحاليل جزءًا أساسيًا من المنظومة الطبية، فهي بمثابة العين الخفية التي تكشف ما يحدث داخل الجسم دون الحاجة لأي تدخل جراحي. قد يشعر الشخص بأنه بخير تمامًا، ...
هل تسأل ما هو أقرب معمل تحاليل من موقعي؟ من المؤكد أنك عندما تحتاج إلى إجراء تحليل مهم وبشكل عاجل، سواء كان تحليل دم روتيني، أو متابعة لحالة صحية، أو حتى تحليل ...
تُعد قراءة تحليل وظائف الكبد واحدة من أهم الخطوات التي تساعد أي شخص على فهم صحة كبده بشكل دقيق، خاصة أن الكبد يعتبر بمثابة "المعمل الكيميائي" داخل الجسم، والمسؤ ...
تلعب مراكز الأشعة دورًا محوريًا في عالم الطب الحديث، فهي العين التي يرى بها الأطباء ما لا يمكن رؤيته بالفحص السريري. فعندما تشعر بألم مجهول السبب، أو عند تعرضك ...
تحليل وظائف الكبد من أهم التحاليل الطبية التي تساعد في تقييم صحة الكبد والتأكد من سلامته وقدرته على أداء وظائفه الحيوية. لكن السؤال الأهم هو: متى يطلب الطبيب تح ...
تُعد معامل التحاليل عامللاً اساسياً لنجاح أي منظومة صحية. فهي الأداة التي يعتمد عليها الأطباء لتحديد تشخيص دقيق، ووضع خطة علاجية سليمة، ومتابعة الحالة الصحية لل ...
تُعد تحاليل وظائف الكلى والكبد من أهم التحاليل التي يعتمد عليها الأطباء لتقييم الصحة العامة للجسم. فعندما تتعطل الكلى أو الكبد بدرجة بسيطة فإن الجسم كله يبدأ با ...
قراءة أشعة الرنين المغناطيسي للمخ ليست مجرد خطوة طبية روتينية، بل هي نافذة تُظهر أدق تفاصيل الدماغ، وتكشف الكثير مما لا يمكن رؤيته في الأشعة العادية أو المقطعية ...
تعتبر معامل تحاليل عينات الأورام هي الخطوة في رحلة تشخيص الأورام بأنواعها، فهي المساحة التي يتم فيها تحليل العينة بدقة تكشف خبايا الخلايا وتحدد طبيعتها. دون هذه ...
تعد مركز للأشعة اليوم من الركائز الأساسية في أي منظومة طبية حديثة، إذ لا يمكن لأي مستشفى أو عيادة متخصصة أن تعمل بفعالية من دونها. فالأشعة أصبحت العين التي يرى ...
أشعة الرنين المغناطيسي للظهر تعد واحدة من أكثر الوسائل الطبية دقة في تشخيص أمراض العمود الفقري والمشكلات العصبية المرتبطة به. في عصرنا الحديث، أصبحت هذه التقنية ...
يعد جهاز الرنين المغناطيسي المفتوح من أبرز الابتكارات الطبية الحديثة التي أحدثت ثورة في عالم التصوير الطبي. إذ يوفّر هذا الجهاز تجربة أكثر راحة وسلاسة مقارنةً ب ...
جهاز الرنين المغناطيسي أصبح اليوم من أهم الأجهزة الطبية في العالم، إذ لا يخلو أي مستشفى حديث منه. فهو يعتبر بمثابة "العين الثالثة" للطبيب التي تمكنه من رؤية ما ...
التكنولوجيا الطبية تتطور بسرعة مذهلة، ومن بين أبرز هذه التقنيات التي غيّرت مفهوم التشخيص الطبي هي تقنية رنين مغناطيسي. هذه التقنية المذهلة تمكّن الأطباء من رؤية ...
تعتبر أمراض الثدي من أكثر المشكلات الصحية التي تثير قلق النساء حول العالم، ليس فقط لأنها شائعة، ولكن أيضًا لأنها ترتبط بأحد أكثر أنواع السرطان انتشارًا بين النس ...
أورام الثدي تعد من أكثر أنواع السرطانات شيوعًا بين النساء في العالم، لكنها أيضًا من أكثرها قابلية للعلاج إذا تم اكتشافها في مراحل مبكرة. غير أن البداية الصحيحة ...
تشخيص أمراض الثدي بالأشعة يمثل أحد أهم الإنجازات الطبية الحديثة في مجال الكشف المبكر عن الأمراض، خصوصاً سرطان الثدي الذي يُعد أكثر أنواع السرطانات شيوعاً بين ال ...
تعد أمراض الثدي من أكثر المشكلات الصحية التي تواجه النساء في مختلف المراحل العمرية، وقد تُسبب قدرًا كبيرًا من القلق والخوف بسبب التشابه بين أعراض الحالات الحميد ...
تلعب الهرمونات دورًا محوريًا في حياة الإنسان، فهي أشبه بقائد الأوركسترا الذي ينظم كل التفاصيل الدقيقة داخل الجسم. وبالنسبة للمرأة، تزداد أهمية هذه الهرمونات، إذ ...
يعد فحص الماموجرام من أهم الفحوصات الطبية التي تنقذ حياة آلاف النساء سنويًا. فهو ليس مجرد فحص روتيني، بل هو وسيلة أساسية لاكتشاف سرطان الثدي في مراحله المبكرة ق ...
الكشف المبكر عن أورام الثدي ليس مجرد إجراء طبي، بل هو خطوة إنقاذية قد تحدث الفارق بين الحياة والموت. سرطان الثدي يُعتبر من أكثر أنواع السرطانات انتشاراً بين الن ...
أعراض سرطان الثدي المبكرة هي من أكثر أنواع السرطان انتشاراً بين النساء حول العالم، ومع ذلك فإن الكشف المبكر عنه يمكن أن ينقذ حياة آلاف النساء سنوياً. كثير من ال ...
تعتبر أورام الثدي من أكثر الحالات الصحية شيوعًا بين النساء حول العالم، إذ تثير القلق والخوف لدى الكثيرات بمجرد ملاحظة أي تغير في شكل أو ملمس الثدي. لكن الحقيقة ...
امراض الثدي عند النساء تعد من أكثر المشكلات الصحية التي تثير القلق، نظرًا لارتباطها الوثيق بالجانب الأنثوي والصحي والنفسي للمرأة. تختلف أمراض الثدي من حيث النوع ...
مركز للاشعة تعد من أهم المرافق الطبية التي يعتمد عليها الأطباء لتشخيص الحالات المرضية بدقة عالية. في عالم الطب الحديث، لم يعد التشخيص يعتمد فقط على الأعراض أو ا ...
يعتبر تحليل وظائف كبد من أهم التحاليل الطبية التي تُجرى لتقييم صحة الكبد وأدائه الحيوي داخل الجسم. فالكبد، كما نعلم، هو أحد الأعضاء الأساسية التي تقوم بعدد كبير ...
تحليل PCR أو ما يُعرف بـ تفاعل البوليميراز المتسلسل (Polymerase Chain Reaction)، هو إحدى أهم التقنيات الحديثة في علم الأحياء الجزيئي التي أحدثت ثورة في عالم الت ...
عندما يتعلق الأمر بصحتك، فإن الدقة ليست رفاهية، بل ضرورة مطلقة. فنتائج التحاليل الطبية هي البوصلة التي يعتمد عليها الأطباء لتشخيص الأمراض ووضع خطط العلاج. في مص ...
تلعب مركز للاشعه دورًا محوريًا في النظام الصحي الحديث، فهي لم تعد مجرد أماكن للحصول على صورة أو فحص روتيني، بل أصبحت من أهم الركائز الأساسية للتشخيص والعلاج. تخ ...
تلعب معامل تحاليل طبية دورًا أساسيًا في حياة كل إنسان، فهي ليست مجرد مكان تُجرى فيه بعض الفحوصات الروتينية، بل تُعد نافذة الطبيب التي يرى من خلالها الحالة الصحي ...
عندما نتحدث عن التطور الطبي الحديث، فإن التشخيص الدقيق يأتي في مقدمة الأولويات، ولا يمكن تحقيق ذلك دون الاعتماد على تقنيات الأشعة المتطورة. الأشعة الطبية لم تعد ...
عندما تسمع كلمة معمل تحاليل ، قد يخطر في بالك فورًا مكان صغير يحتوي على أجهزة وأنابيب اختبار، لكنه في الواقع يمثل أحد الأعمدة الأساسية في الطب الحديث. معمل التح ...
التصوير بالرنين المغناطيسي للدماغ يُعد من أهم التقنيات الطبية الحديثة التي ساعدت الأطباء على رؤية تفاصيل دقيقة داخل المخ والجهاز العصبي. على عكس الأشعة السينية ...
الرنين المغناطيسي هو واحد من أعظم الإنجازات الطبية في العصر الحديث، ويعد بمثابة نافذة دقيقة تسمح للأطباء برؤية ما يحدث داخل جسم الإنسان دون الحاجة إلى التدخل ال ...
يعتبر تحليل PCR أو ما يُعرف بتفاعل البلمرة المتسلسل من أهم الاكتشافات العلمية في مجال البيولوجيا الجزيئية. تخيّل أنك تبحث عن إبرة في كومة قش، والـ DNA ...
معامل تحاليل طبيه تعتبر حجر الأساس في أي منظومة صحية متكاملة، فهي الذراع العلمي الذي يعتمد عليه الأطباء للحصول على صورة دقيقة عن الحالة الصحية للمريض. عندما يذه ...
أشعة الرنين المغناطيسي واحدة من أهم الاكتشافات الطبية في القرن العشرين، وقد أحدثت ثورة حقيقية في عالم التشخيص الطبي. كثير من الناس يسمعون عنها لكن لا يعرفون كيف ...
عندما نسمع كلمة "معامل تحاليل"، فإن أول ما يتبادر إلى أذهاننا هو المكان الذي نلجأ إليه لمعرفة ما إذا كنا نعاني من مرض معين أو لمتابعة حالتنا الصحية بشكل دوري. ل ...
الكبد واحد من أهم الأعضاء الحيوية في جسم الإنسان، إذ يعمل كمصنع متكامل يؤدي مئات الوظائف التي تضمن استمرار الحياة بشكل صحي. فهو يساهم في تنقية الدم من السموم، ت ...
أشعة الرنين المغناطيسي (أشعة mri) تعتبر من أهم الابتكارات الطبية في العصر الحديث، فهي بمثابة نافذة تسمح للطبيب برؤية أعماق جسم الإنسان بتفاصيل دقيقة ووضوح مذهل، ...
عندما نسمع كلمة مركز اشعه ، يخطر ببالنا مباشرة غرفة مليئة بالأجهزة الكبيرة والحديثة، التي تبدو وكأنها خرجت من فيلم خيال علمي. لكن في الحقيقة، مركز الأشعة هو قلب ...
عندما نتحدث عن الطب الحديث، لا يمكن أن نتجاهل سعر فحص PET‑CT في مصر الذي يعتبر ثورة في عالم التشخيص الطبي. هذا الفحص يجمع بين دقة الأشعة المقطعية (CT) وقدرة الت ...
أشعة الرنين المغناطيسي أصبحت واحدة من أهم وسائل التشخيص الحديثة في المجال الطبي، حيث تعتمد على مجال مغناطيسي قوي وأمواج راديوية لتكوين صور دقيقة جداً لداخل جسم ...
الأشعة الطبية بشكل عام أصبحت أداة لا غنى عنها في عالم التشخيص الحديث، فهي تساعد الأطباء على رؤية ما يحدث داخل الجسم بدقة متناهية دون الحاجة إلى تدخل جراحي. أما ...
الكبد هو أحد أهم أعضاء الجسم، ويمكننا تشبيهه بمحطة المعالجة الرئيسية في جسم الإنسان، حيث يعمل على تنقية الدم من السموم، وإنتاج العصارة الصفراوية، وتخزين الفيتام ...
أشعة الرنين المغناطيسي من أهم وأحدث الوسائل الطبية التي ساعدت الأطباء على الوصول إلى أدق تفاصيل جسم الإنسان دون الحاجة إلى أي تدخل جراحي. تعتمد هذه التقنية على ...
في السنوات الأخيرة، أصبح الرنين المغناطيسي واحدًا من أهم الوسائل التشخيصية التي يعتمد عليها الأطباء في مختلف التخصصات، بدايةً من أمراض المخ والأعصاب وحتى مشاكل ...
عندما نتحدث عن الرعاية الطبية في مصر، لا يمكن أن نتجاهل الدور الحيوي لمعامل الأشعة، فهي الأداة الأبرز في تشخيص العديد من الأمراض بدقة وسرعة. لكن السؤال الذي يشغ ...
عندما نتحدث عن الصحة، فإن أول ما يتبادر إلى أذهاننا هو زيارة الطبيب. لكن الحقيقة أن نصف رحلة التشخيص تقريبًا تبدأ داخل أفضل معمل تحاليل في مصر، تعتبر معامل التح ...
الكبد هو من أهم الأعضاء في جسم الإنسان، إذ يلعب دورًا مركزيًا في تنقية الدم، إنتاج البروتينات، وتنظيم العديد من العمليات الحيوية. من هنا تأتي أهمية إجراء تحليل ...
أشعة الرنين المغناطيسي أصبحت واحدة من أهم الوسائل الطبية في مصر، حيث باتت جزءًا لا يتجزأ من التشخيص الدقيق لمجموعة كبيرة من الأمراض. في الماضي، كان التشخيص يعتم ...
في حياتنا اليومية قد نحتاج لإجراء بعض التحاليل الطبية البسيطة في المنزل دون الحاجة إلى زيارة المستشفى أو العيادة، خاصة مع توفر أدوات وأجهزة الفحص السريع. هذه ال ...
تعد تقنية PCR واحدة من أهم الاكتشافات العلمية في مجال الأحياء الجزيئية، فقد غيرت مسار التشخيص الطبي والبحث العلمي بشكل جذري. وبما أن هذه التقنية لها عدة أشكال و ...
السرطان يُعتبر من أكثر الأمراض التي تثير القلق حول العالم، حيث يمثل تحدياً كبيراً للأطباء والمرضى على حد سواء. ورغم التطور الكبير في مجالات التشخيص والعلاج، إلا ...
يُعد التصوير الطبي اليوم أحد أهم أدوات الأطباء في التشخيص والمتابعة ووضع الخطط العلاجية، وهنا يأتي دور PET‑CT في مراقبة العلاج ومع تطور التكنولوجيا ظهرت تقنيات ...
في عصر التقدم الطبي المتسارع، لم تعد طرق التشخيص التقليدية كافية في العديد من الحالات المعقدة. لقد شهدت مصر، كجزء من هذا التطور العالمي، طفرة نوعية في مجال الطب ...
التحضير لأي عملية جراحية لا يقتصر فقط على الصيام قبل العملية أو التوقف عن بعض الأدوية، بل يشمل بالدرجة الأولى إجراء مجموعة من التحاليل الطبية التي تعتبر بمثابة ...
فيروس سي (HCV) من أخطر الفيروسات التي تصيب الكبد، حيث يؤدي في كثير من الحالات إلى التهابات مزمنة قد تتطور بمرور الوقت إلى تليف كبدي أو حتى سرطان الكبد إذا لم يت ...
اشعة رنين مغناطيسي للإصابات في مركز الأهرام للأشعة توفر أدق التشخيصات الطبية بأحدث التقنيات العالمية، مع رعاية متكاملة وخبرة متميزة للمرضى في مصر. في عالم الطب ...
مراكز اشعة MRI مصر مركز الأهرام للأشعة: اكتشف أحدث تقنيات الرنين المغناطيسي، الأسعار، الخدمات، وتجهيزات المرضى في أفضل المراكز الطبية بمصر. تعتبر مراكز اشعة MR ...
يُعتبر دورة حياة نتيجة تحليل PCR أو تفاعل البوليميراز المتسلسل من أهم الاكتشافات في مجال البيولوجيا الجزيئية والطب الحديث. تخيّل أن هناك جملة مكتوبة بخط صغير جد ...
يعد تحليل وظائف الكبد من الفحوصات الطبية الأساسية التي تساعد على تقييم صحة هذا العضو الحيوي في الجسم. فالكبد يلعب دورًا محوريًا في تنقية الدم من السموم، وتصنيع ...
ما هو الرنين المغناطيسي؟ إنه إحدى أهم التقنيات الطبية الحديثة التي أحدثت ثورة في عالم التشخيص، حيث تجمع بين الدقة العالية والقدرة على تصوير أدق التفاصيل داخل جس ...
يعتبر فحص PET‑CT واحدًا من أكثر الفحوص الطبية دقة في التشخيص الحديث، حيث يجمع بين قوتين هائلتين في مجال التصوير الطبي: التصوير المقطعي بالإصدار البوزيتروني (PET ...
مع تزايد الحاجة إلى الفحوصات الطبية الدقيقة في السنوات الأخيرة، أصبح تحليل PCR واحدًا من أكثر التحاليل المطلوبة، خاصة بعد انتشار فيروس كورونا الذي غير شكل الرعا ...